Our services: Back pain, Spine-related issues, Scoliosis correction, Gangrene and Sciatica management
Back pain is a common and often uncomfortable sensation that can range from mild to severe, and it can affect people of all ages. It typically originates from various structures in the back, including the muscles, bones, nerves, discs, and ligaments. Read more
Spine related issue a Chiropractors play a vital role in the healthcare system by offering non-invasive, drug-free approaches to managing spine-related issues. They focus on restoring proper spinal function, reducing pain, and improving overall well-being, helping patients achieve better spinal health and an improved quality of life. Read more






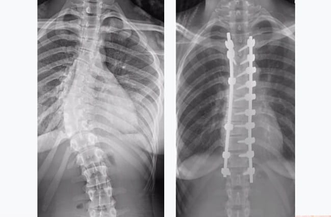
Scoliosis treatment. Chiropractic care for scoliosis should be part of a comprehensive approach to managing the condition, which may also include input from physical therapists, orthopedic surgeons, and other healthcare professionals. The goal is to improve the patient's overall well-being, reduce pain, and enhance spinal function to the best extent possible. Read more
Gangrene is a serious medical condition that requires prompt and specialized treatment to prevent its progression and associated complications. The specific treatment approach for gangrene varies depending on the type and severity of gangrene. Read more
Sciatica Treatment. Chiropractors can play a valuable role in the management of sciatica, a condition characterized by pain that radiates from the lower back down one or both legs due to compression or irritation of the sciatic nerve. Chiropractic care for sciatica focuses on relieving pain, improving mobility, and addressing the underlying causes Read more




